
如果您一直在努力来源QCE生物学练习问题,请为您的外部评估(EA),不需要再压力,因为您遇到了正确的页面!
我们有25个练习题,你可以用来准备考试。每个问题的解决方案也包括在内,这样你就可以回顾你是如何做到的。
没有比回答一些练习问题更好的方法来准备EA了。那么,让我们开始吧!
QCE生物学EA练习题
问题1
定义术语思工(1)
问题2
ParameCium Aurelia.和草履虫caudatum这两种原生动物都能在潮湿的环境中茁壮成长。一组科学家想要更好地了解这两个物种之间的关系,以及它们生存需求的相似程度。从他们的研究中,我们收集了以下数据:
(一)定义利基术语(1)
(b)使用此定义,描述从收集到的有关竞争排除原则的数据中可以看到什么(3标志)
问题3
回忆克莱斯的三个假设(3标志)
问题4
基于以下食物网:
(一)定义关键物种这个术语(1)
(b)识别上面食品网中的梯形种类(1)
(c)预测如果这个物种被从生态系统中移除会发生什么(4分)
问题5
一个动物学家对袋熊引起了激情,在附近的丛林中监测他们的人口。他们的第一个随机样品,他们收集了100个袋熊。他们标记了它们并将它们释放回野外。两周后,动物学家返回相同的位置并采取了另一个样本。这一次,样品由90个袋熊组成,其中10个是从之前的捕获标记的。
使用林肯指数,估计袋熊的数量(2分)
问题6
描述碳循环(3标志)
问题7
解释为什么物种的生物学定义是有限的(2分)
问题8
(一)定义履行能力术语(1)
(b)解释人口规模如何受到承载能力的限制(2分)
问题9
科学家们想要监测一种细菌的数量增长。将该细菌留在培养皿中,收集以下数据:
时间(小时) 细菌数量 0 2 1 4 3. 16 4 52 5 110 6 214. 7 430. 8 870 9 1740 10 1860 11 1740 12 1860 (一)构建结果的图表(1)
(b)识别承载能力(1)
(c)识别人口增长方式(1)
问题10
识别先锋物种的四个特征使它们成为有效的殖民者(4分)
问题11
比较Helicase和DNA聚合酶在DNA复制中的作用(2分)
问题12
解释独立配种和随机受精对于确保后代遗传变异的重要性(2分)
问题13
蓝眼睛是一种隐性特征。基因杂合的个体在其表现型中不会表现出该性状,但被称为该性状的携带者。
(a)为一个杂合的个体(携带棕色和蓝色眼睛的基因)和一个隐性性状纯合的个体的潜在后代构建一个庞尼特方格(2分)
(b)确定后代的基因型和表现型(4分)
问题14
解释发生在蛋白质合成过程中的过程,在此过程中基因被转录成信使RNA(3标志)
问题15
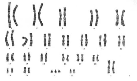
基于以下核型:
图片来自新南威尔士大学胚胎学
(一)识别染色体组合中的异常(1)
(b)确定这种突变的潜在原因(2分)
问题16
(一)定义的非整倍性(1)
(b)解释为什么非整倍体是不分离的结果(2分)
问题17
描述制备重组DNA的过程(5分)
问题18
(一)定义进化这个词(1)
(b)对比微观和宏观调度(4分)
问题19
解释遗传漂变是如何导致微进化的(2分)
问题20
回忆物种之间的四种多样化模式中的两个(4分)
问题21
解释人口瓶颈如何增加灭绝的风险(2分)
问题22
使用下表:
物种 许多个人 1 81 2 2 3. 2 4 2 5 2 全部的 89 计算这里的辛普森多样性指数(2分)
问题23
解释化学诱变剂是如何导致突变的(2分)
问题24
解释K - r-selection(4分)
问题25
定义基因一词(1)
QCE生物学EA练习问题的解决方案
点击这里下载以上25道练习题的答案!
您是否正在寻找一些额外的帮助,并帮助QCE单元3和4生物学外部评估?
我们有一个令人难以置信的团队,由QCE生物导师和导师组成!
我们可以帮助您掌握QCE生物学教学大纲和即将到来的生物学评估,在您家中或在线上一对一进行个性化课程!
我们支持在过去的11年里有8000名学生平均来说,我们的学生成绩提高了20%以上!
想要了解更多,并从鼓舞人心的QCE导师和导师开始,立即取得联系或者给我们打电话1300 267 888 !
凯特琳史密斯是昆士兰ATAR系统的先驱。2020年,她以98.40的ATAR成绩毕业,现在在昆士兰大学攻读高级科学荣誉学士学位,主修物理学。通过她的研究,她希望能对宇宙的奇妙运作方式有更深刻的理解。当她不埋头苦读大得不必要的课本时,她喜欢和朋友聊天,在TikTok上漫无目的滚动,睡觉。



