
Just finished up Unit 3 of QCE Biology and are making a start on Unit 4?
We can help you get an idea of what exactly you’ll be covering in this unit! We’ll take you through each of the topics you’ll be studying and give you some hand guides to help you complete your assessments for QCE Biology Unit 4.
热衷于开始?我们走吧!
What is Unit 4 in QCE Biology all about?
主题1:描述生物多样性
Topic 2: Ecosystem Dynamics
QCE生物学单元4评估s
学习Tips
What is Unit 4 in QCE Biology all about?
In Unit 4, there is a strong focus onthe way biology processes and phenomena ensure the continuity of life on Earth.We will come to learn abouthow organisms either triumph or perish when facing adverse environmental conditions or interactions with other species. Additionally, we will look at生活如何随着时间而变化。
We will dive into the very small world ofDNA and the basic units of inheritance to look at how cellular processes and gene pools are affected by a variety of factors.
此外,我们会看看how some very important biological processes ensure that diversity within a population is maintained.We will become familiar with a variety ofbiotechnological techniques, such as DNA profiling, gel electrophoresis, and recombinant DNA.
This knowledge should then be transferred to a more grand sphere, where we will我nvestigate how entire species will change and evolve, and how new species arise.
Topic 1: DNA, Genes, and the Continuity of Life
本主题由六个副主题, and focusses on the concepts ofDNA structure and replication, mutation, inheritance and gene expression, as well as biotechnologies.
DNA结构和复制
在这个小标题,你会develop your understanding of the composition of DNA and the enzymes involved in DNA replication.In particular, you are interested inthe double-helical nature of DNA and the complementary base pairing.
Further, you should have an understanding ofwhat a nucleotide is, and the roles that DNA helicase and DNA polymerase play in replication.With the idea of replication, the notion ofdirectionality我s incredibly important.

从图像源于BioNinja
关键的外卖
- Understand the structure of DNA
- Understand and be able to explain the roles of DNA helicase and DNA polymerase
Cellular Replication and Variation
Within this subtopic, we are interested inthe stages of meiosis.In particular,同源染色体戏剧的角色, as well ashow crossing over, random assortment, and random fertilisation ensure genetic variation in offspring.
您还将培养理解spermatogenesis和oogenesis和be able to compare the processes that take place within each.
关键的外卖
- 了解同源染色体在减数分裂中发挥的作用和II
- Understand and explain how crossing over, random assortment, and random fertilisation contribute to genetic variation
- Compare and contrast spermatogenesis and oogenesis
Gene Expression
In this subtopic we willdifferentiate between genes and genomes.特别是,我们会将基因分解为较小的成分并检查两者编码和非编码DNA(as well as the importance of each).
我们会调查the processes involved in protein synthesis, as well as how protein synthesis allows for gene expression.
With regard to gene expression, we are also interested in thefactors that will influence expression— notably, environmental factors, transcription factors, and other genes.
When looking into transcription factors, we willexamine those that regulate morphology (HOX genes) and cell differentiation (SRY genes).
关键的外卖
- Understand the difference between gene and genome and be able to define both
- Understand that genes consist of coding and non-coding sections — both of which are important
- Be able to explain protein synthesis and the factors influencing gene expression
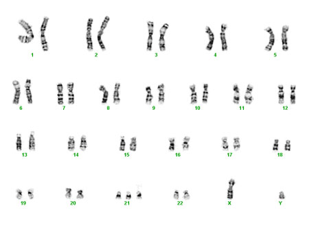
Mutations
在这个疑问中,我们将调查由于DNA复制的误差,细胞分裂,如何在基因和染色体中产生突变和染色体。(in particular, how nondisjunction results in aneuploidy) and also due to接触各种诱变剂。
我们特别感兴趣how these mutations alter gene pools and lead to genetic variation in offspring.
Further, we should be able toapply our understanding of mutations and human karyotypes to identify ploidy changes and determine genetic disorders from a karyotypethat has been presented to us.

从图像源于Lab Tests Online
关键的外卖
- 解释DNA复制,细胞划分和因诱变服的突变如何产生突变
- Explain how nondisjunction results in aneuploidy
- Identify mutations in human karyotypes
Inheritance
From this subtopic we shoulddevelop our abilities to practically apply our theoretical understandings of inheritance and genetic variation. In particular, we should be able topredict the genotypic and phenotypic frequencies of offspring,给予父母持有的基因的信息。
此外,我们应该be able to以频率直方图和旁路正方形的形式解释数据to determine patterns of inheritance for autosomal dominant alleles, sex-linked alleles and multiple allele inheritance.
Further, you should also be able to定义多基因遗传。
关键的外卖
- Use Punnett squares and frequency histograms to predict genotypic and phenotypic frequencies in offspring
- 了解常染色体显性等位基因,性关联等位基因和多个等位基因继承的遗传模式
Biotechnology
Within this subtopic there are五个生物技术过程对我们感兴趣。这些是recombinant DNA, DNA sequencing, DNA profiling, polymerase chain reaction (PCR), and gel electrophoresis.
对于重组DNA,我们对此感兴趣four primary stages of development(isolation, insertion, joining, and amplification). With DNA sequencing and DNA profiling, we are interested in我dentifying unique genetic information.
和通过PCR和凝胶电泳,我们对每个的目的感兴趣. In particular, how each of these processes can be used in the other techniques.
对于所有五个生物技术过程,我们应该能够analyse data from each technique to determine how successful it has been and to draw conclusions.
关键的外卖
- 解释制备重组DNA的过程
- 使用DNA测序和分析来识别独特的遗传信息
- Explain the purposes of PCR and gel electrophoresis
- 分析来自每种生物技术技术的数据
主题2:地球上生活的连续性
本主题由three subtopics和focusses on the concepts ofevolution, natural selection and speciation.In particular, we are interested inhow life changes over time in response to selection pressures and the presence or absence of genetic diversity.
Evolution
在这个颠覆案中,我们会培养理解并能够定义演进,微观化和宏观变。
此外,我们应该be able toanalyse data to determine periods of evolutionary radiation and mass extinction, as well as determiningthe degree of genetic similarity between organisms- 作为进化的证据。
关键的外卖
- Develop an understanding of evolution, microevolution, and macroevolution
- Analyse data to determine periods of evolutionary radiation and mass extinction
Natural Selection and Microevolution
Within this subtopic, we are interested inunderstanding how natural selection results in microevolution.In particular, we will explore how various selection pressures influence organisms based on their phenotypes or genotypes.
我们也会看看three types of phenotypic selection(stabilising, directional and disruptive) and be able to解释数据维etermine which form of phenotypic selection is present.
此外,我们应该understand the concepts of mutation, gene flow and genetic drift to explain how they contribute to microevolutionary change.

从图像源于Khan Academy
关键的外卖
- Understand how selection pressures impact organisms based on their phenotypes and genotypes
- 确定表型选择的三种类型
- Understand how mutation, gene flow and genetic drift contribute to microevolutionary change
形态和宏观调查
This subtopic focusses onhow an accumulation of microevolutionary changes over time will result in the development of entirely new species.We will look at thefour patterns of diversification— divergent, converge, parallel and coevolution — and thethree modes of speciation- Allopatric,SympaTric和Parapatric。
Just as there are factors that influence a species survival, we will come to learn that there arefactors influencing gene flow.
Notably, we will look atthe different methods of isolation that impact gene flow.These include, geographic isolation, reproductive isolation, spatial isolation, and temporal isolation.
Further, we explore基因流动和遗传变异关于如何降低灭绝风险的重要性。
From our newfound understanding, we should be able to解释数据以确定是否已发生物料。
关键的外卖
- Understand the relationship between microevolution and speciation
- Recognise the four patterns of diversification and the three modes of speciation
- 了解基因流动的重要性和影响基因流动的分离方法
- Understand that reduced genetic diversity increases the risk of extinction
- 解释数据以确定是否发生了物种
QCE生物学单元4评估
在本机中,有一种评估您需要完成。这是你的research investigation.
For this task, you will need toresearch a topic at a great depth in order to answer a research question.Similarly to the数据测试和学生实验, you will be required to analyse data in order to support your conclusions.
有关额外指导,请随时查看我们的文章how to ace your research investigation这里!
Tips for Study
The biggest tip for studying Biology is tomind-map everything!All the content you will learn across Units 3 & 4 are connected. Finding these connections makes memorisation so much easier.
This article on如何ace你的外部考试has a number of tips that should be implemented throughout the entire year to give yourself the greatest chance at success!
Further, don’t forget to check out the following articles for extra practice questions:
- Downloadable QCE Biology Practice Exam
- Practice Questions for Biology External Assessment
- Practice Multiple Choice Questions for Biology External Assessment
Are you looking for some extra help with revising QCE Biology Unit 4?
We have an incredible team of QCE Biology tutors and mentors!
我们可以帮助您掌握QCE生物学教学大纲和即将到来的生物学评估,在您家中或在线上一对一进行个性化课程!
We’ve supported over8,000 students over the last 11 years, and on average our students score mark improvements of over 20%!
To find out more and get started with an inspirational QCE tutor and mentor,立即取得联系or give us a ring on1300 267 888!
Katelyn Smithwas a pioneer in the Queensland ATAR system. After graduating in 2020 with an ATAR of 98.40, she now studies a Bachelor of Advanced Science (Honours) at The University of Queensland — majoring in Physics. Through her studies, she hopes to develop a greater appreciation for how the wonders of the universe work. When she isn’t slaving away behind her unnecessarily large textbooks, she enjoys catching up with friends, scrolling mindlessly through TikTok, and sleeping.
