
如果您一直在努力为您的外部评估(EA)来源QCE生物学实践问题,没有必要再紧张了,因为您已经遇到了正确的页面!
我们有25道练习题,你可以用它们来复习考试。每个问题的答案也包括在内,所以你可以回顾你做了什么。
没有比回答一些练习问题更好的方法来准备您的EA。那么,让我们开始吧!
QCE生物EA练习问题
问题1
定义进化枝一词(1)
问题2
草履虫水母和草履虫caudatum都是在潮湿的环境中茁壮成长的原生动物。一组科学家想要更好地了解这两个物种之间的关系,以及它们生存需求的相似程度。从他们的研究中,收集了以下数据:
(一)定义这个词的利基(1)
(b)使用这个定义,描述根据竞争排斥原则收集的数据中可以看到什么(3标志)
问题3
回忆分支学的三个假设(3标志)
问题4
基于以下食物网:
(一)定义关键物种这个词(1)
(b)识别上面食物网中的关键物种(1)
(c)预测如果这个物种从生态系统中消失会发生什么(4分)
问题5
一位对袋熊充满热情的动物学家开始监测附近灌木丛中的袋熊数量。在第一个随机样本中,他们收集了100只袋熊。他们给它们做了标记,然后把它们放回野外。两周后,动物学家又回到同一地点,取了另一份样本。这一次,样本包括90只袋熊——其中10只被标记为上次捕获的袋熊。
使用林肯指数,估计这只袋熊的数量(2分)
问题6
描述碳循环(3标志)
问题7
解释为什么生物学对物种的定义是有限的(2分)
问题8
(一)定义承载能力一词(1)
(b)解释人口大小如何受承载能力的限制(2分)
问题9
科学家们想要监测一种细菌的数量增长。将细菌留在有盖培养皿中,收集到以下数据:
时间(小时) 细菌的数量 0 2 1 4 3. 16 4 52 5 110 6 214 7 430 8 870 9 1740 10 1860 11 1740 12 1860 (一)构造一个结果图(1)
(b)识别的承载能力(1)
(c)识别人口增长方式(1)
问题10
识别先锋物种的四个特征使它们成为有效的殖民者(4分)
问题11
比较解旋酶和DNA聚合酶在DNA复制中的作用(2分)
问题12
解释独立配种和随机受精对确保后代遗传变异的重要性(2分)
问题13
蓝眼睛是一种隐性特征。这种基因是杂合的个体在其表现型中不会表现出这种特性,而是被称为这种特性的携带者。
(a)为一个杂合个体(携带棕色和蓝色眼睛的基因)和一个隐性性状纯合个体的潜在后代构建庞尼特平方(2分)
(b)确定后代的基因型和表型(4分)
问题14
解释在蛋白质合成过程中,基因被转录成信使RNA(3标志)
问题15
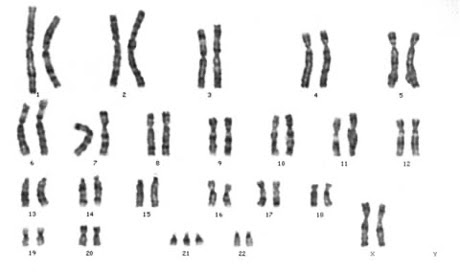
根据核型如下:
图片来自新南威尔士大学胚胎学
(一)识别染色体组合中的异常(1)
(b)确定这种突变的潜在原因(2分)
问题16
(一)定义的非整倍性(1)
(b)解释非整倍体如何是不分离的结果(2分)
问题17
描述重组DNA的过程(5分)
问题18
(一)定义进化这个词(1)
(b)对比微,大进化(4分)
问题19
解释遗传漂变如何导致微进化(2分)
问题20
回忆四种物种间多样化模式中的两种(4分)
问题21
解释种群瓶颈如何增加灭绝的风险(2分)
问题22
使用下表:
物种 许多个人 1 81 2 2 3. 2 4 2 5 2 总计 89 计算辛普森多样性指数(2分)
问题23
解释化学诱变剂是如何导致突变的(2分)
问题24
解释K - r-selection(4分)
问题25
定义基因一词(1)
QCE生物EA练习问题解答
点击这里下载以上25道习题的解答!
你在QCE第三单元和第四单元生物外部评估中需要额外的帮助吗?
我们拥有一支令人难以置信的QCE生物导师团队!
我们可以帮助您掌握QCE生物教学大纲,并通过在您的家庭或在线进行一对一的个性化课程,在您即将到来的生物评估中取得好成绩!
我们支持在过去的11年里有8000名学生我们的学生平均成绩提高了20%以上!
要了解更多信息并开始与一个鼓舞人心的QCE导师和导师,今天联系或者给我们打电话1300 267 888 !
凯特琳史密斯是昆士兰ATAR系统的先驱。她于2020年毕业,ATAR成绩为98.40,现在在昆士兰大学攻读高级科学学士学位(荣誉),主修物理学。通过她的研究,她希望对宇宙的奇迹如何运作有更深刻的认识。当她不埋头苦读那些不必要的大书时,她喜欢和朋友们聊天、无意识地浏览TikTok、睡觉。



